Care Net Pregnancy Center of Houston
Care Net Pregnancy Center of Houston demonstrates the love of Christ to those facing a pregnancy decision through the provision of spiritual, physical, emotional and educational support and by proclaiming the Gospel in a loving, confidential atmosphere. We are committed to upholding the truth that God creates human life in His image at conception.
Care Net Pregnancy Center of Houston has two locations, one in Champions and the other in Cypress. We are celebrating 30 years in ministry as a 501(c)3 organization. In that time, we have served over 31,000 women from our community.
Our vision is for us to live in a community where all women choose life.
Wendy's Walk for Life Fundraising Page
My Care Net Story
I first came to Care Net as a volunteer in 2015. Soon after, I began training to be a Nurse Sonographer. In 2017 I joined the staff at our Champions Center, as Nurse Manager. Honestly, I think I have the best job in the world. Each day is a new adventure, just as every client's story is unique. I have the rare privilege of helping Moms- and Dads-to-be see their first glimpse of their child (or children, in the case of twins!) through ultrasound. Depending on how far along the pregnancy is, we may see baby's heart beating, litle feet, legs kicking, tiny fingers...a thumb being sucked. Our clients often say things like "Wow, a tiny human!" or "I had no idea my baby would look like a baby already" or they might comment on how cute their baby is, through tears. Please consider supporting Care Net's mission to save lives today and for eternity.
$1,225.00
achieved
$1,000.00
goal
of your goal reached
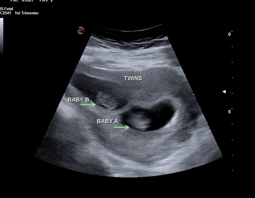
Twins!
What fun it was to see twins! Their mom had a funny feeling ahead of time that she might be carrying twins; when I put the ultrasound probe on her belly, I said. "here's number one....and here is number two!" She was laughing....and asked me to tell Dad when he came into the room. Both were delighted!
Ultrasound review class
Our wonderful group of nurse sonographers with our instructor
My Supporters
- Anonymous Wendy, God bless you! Love, Cheryl April 2021
- Anonymous April 2021 $100.00
- Timothy Cochrane Love the work y'all are doing! To God be the Glory! April 2021 $100.00
- Mark and Terry Fredrickson Walk, Walk, Walk... April 2021 $100.00
- Anonymous April 2021 $500.00
- Anonymous April 2021 $500.00
- Anonymous April 2021 $100.00
- Timothy Cochrane Love the work y'all are doing! To God be the Glory! April 2021 $100.00
- Mark and Terry Fredrickson Walk, Walk, Walk... April 2021 $100.00
- Ginevra Hess April 2021 $100.00
My Badges
-
Fundraises $250
Awarded when Anyone reaches $250.00 in donations
Awarded 04/07/2021
-
Fundraises $500
Awarded when Anyone reaches $500.00 in donations
Awarded 04/08/2021
-
Half Way to Your Fundraising Goal
Awarded when Anyone reaches 50 % of goal
Awarded 04/08/2021
-
Reaches Fundraising Goal
Awarded when Anyone reaches 100 % of goal
Awarded 04/11/2021
-
Fundraises $1000
Awarded when Anyone reaches $1,000.00 in donations
Awarded 04/11/2021